椎管狭窄症是指各种形式的椎管、神经根管以及椎间孔的狭窄,包括软组织(如黄韧带肥厚、后韧带钙化等)引起的椎管容积改变及硬膜囊本身的狭窄。由于椎管狭窄造成对脊髓及神经、血管卡压和刺激从而引起椎管狭窄症的发生。
椎管狭窄,一般中高年男性比较多发,初期症状有可有头晕,手麻,腰痛、腰胀、腰紧束感等。更有进行性加重的腰痛和下肢痛,伴有神经性间歇性跛行。神经性间歇性跛行是椎管狭窄的典型症状,除此之外患者可能还会有麻痹、痉挛、肌力减弱等症状。后期会出现无力、发软(踩棉花感)、皮肤感觉减退、走路不稳,下肢和腿部肌肉萎缩、瘫痪、大小便失禁等症

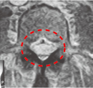
正常状态下可见神经在椎管里面走行是无阻碍畅通的。

由于椎管狭窄而导致压迫神经可见神经不能走行畅通。椎间盘突出(前方)・椎间 关节肥大变形(侧面)黄韧带肥大变形(后方~后侧面)
在初期可在仙骨穴处通过打封闭针的方法让神经周围的滑动变灵敏,步行距离也可增加,还可缓解足坐骨神经痛等症状。如果反复打封闭针无明显效果可再选择Robin Hood插入术(棘突起间扩大术)或内窥视镜下椎管扩大术Micro-Endoscopic Laminoplasty (MEL)

正常脊柱椎管MRI造影

脊柱狭窄症患者伴有强度的间歇性跛行的MRI造影明显可见神经被压迫面)

正常脊椎管模型

椎管狭窄症模型

陈旧性椎间盘突出,黄韧带肥厚,椎间关节增大等多种原因导致椎管狭窄压迫神经因而引发腰下肢痛,麻痹,间歇性跛行等症状。
我院才用内窥视镜下椎管扩大术在极细的操作管当中完成减压术,给神经“松绑”。
此项技术是当今世界脊柱外科最先端的治疗手术方法之一。在极底的侵袭组织的情况下可完成椎间管扩大,最低程度对患者身体减轻负担,是一项最快捷,安全的治疗方法之一。




我院还对此项技术又进行改进以往18mm操作管现在仅有10mm。
可在全身麻醉的情况下只需2小时就可以完成手术。因为是低侵袭对组织的破坏很小,出血也很少因此对患者本人身体大大的减轻了负担,所以术后仅住两天便可出院。

MRI影像可见,两侧神经被关节突起压迫,因此会引发神经痛,步行障碍。

术后MRI影像可见,椎间管扩大,神经走向明显畅通