重的骨质疏松症会造成脊椎压迫性骨折。传统的治疗传统手术创伤大、愈合慢,而且要用钢钉架在疏松骨骼上,并不稳固。我院采用与人体骨骼成份相近、具有生物相容性的磷酸钙骨水泥,无副作用的材料,并且打破传统的治疗方法采用PMMA骨水泥椎体矫正术(Vertebroplasty)”。此治疗方法就是将PMMA骨水泥填入椎体,使其固化后,可以增强脊椎的抗压性及稳定度,一般可减少80%的疼痛,因创伤小、恢复快,患者可以很快恢复正常生活。

皮下局麻的情况下使用3mm的探针插入压迫的锥体内,再放入骨水泥。30分钟即可完成手术次日便可出院。

术中随时拍下X光照精确确认骨折的部位

放入之前的骨水泥成2cm细长状,注入后便膨大便圆球状,使其把压迫得锥体从内部支撑起,使其稳固

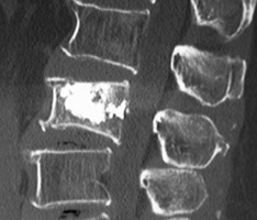
注入生物相容性的磷酸钙骨水泥的X光照片

压迫性锥体内注入骨水泥使其恢复锥体的生理形态的同时解除疼痛,防止了由于压迫性骨折导致的病理弯曲和驼背驼腰症状