人类脊柱由24块椎骨、1块骶骨和1块尾骨借韧带、关节及椎间盘连接而成。脊柱具有支持躯干、保护内脏、保护脊髓和进行运动的功能。脊柱内部自上而下形成一条纵行的脊管,内有脊髓。脊椎病就是脊椎的骨质、椎间盘、韧带、肌肉发生病变,进而压迫、牵引刺激脊髓、脊神经、血管、植物神经从而出现复杂多样的症状。
主要症状:不能直立、头痛、眩晕、视力模糊、记忆力下降、颈肩酸痛、食欲不振、反胃、呕吐、下肢无力,严重者可能导致瘫痪。
脊柱精密检查是为早期发现与预防脊柱疾患的医疗检查。使用高精度的医学影像仪器对脊柱的健康状况进行检查,对椎体有无异常及对病变部位精确做出诊断的必要的医学检查。与此同时还可诊查有无大动脉瘤,内脏的病变和腰痛的原因等等。
主要适应对象:颈肩酸痛,手臂发麻,下肢麻木,间歇性跛行及腰痛等症状患者
| 项目 | 检查内容 |
|---|---|
| MRI磁共振成像检查 (1.5T)*T特斯拉:外磁场强度 |
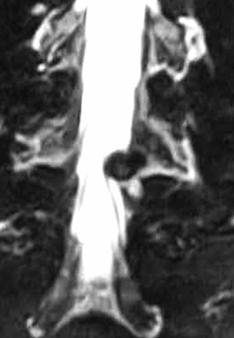
MRI可准确评价脊柱和各种病理情况。查看椎间盘病变・把握神经走向状态,精确诊断椎间盘突出,椎管狭窄等症的必要检查。 |
| CT(64 multi-slice) *64断层扫描检查 |
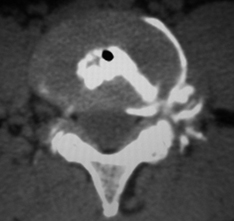
对脊椎的骨・关节的状态进行断层扫描形成3D立体图像对病变处精确诊断的必要检查。还可对脊柱棘突,有无脊柱分离症,椎间盘钙化进行详细的诊查。还可诊查有无大动脉瘤,内脏的病变和腰痛的原因等等。 |
| X射线检查 | 对脊柱的生理弯曲及骨密度侦查的必要检查 |

MRI图像

CT 3D立体图像

X射线图像
根据发病症状要进一步进行精密检查以便选择最适合的手术入路及手术方法因此有必要时追加下列项目。
| 项目 | 检查内容 |
|---|---|
| 神经根造影 | 在数根神经根当中找出病变部位的重要检查项目。在神经根周围注入造影剂后CT扫描。 |
| 椎间盘造影 | 检查外侧突出的重要检查项目。在椎间盘处注入造影剂再进行CT扫描 |

神经根造影

椎间盘造影