经皮下窥视镜摘除椎间盘摘除术PELD是一种适应中~大程度的椎间盘突出症的微创手术治疗。是我院推出治疗椎间盘突出症的微创治疗术。使用7mm的窥视镜下,在低侵袭组织的情况下,仅局部麻醉,便可把压迫神经的椎间盘摘除。而且手术第二天便可出院回家静养。手术中,不会触及神经,更不会像传统的脊柱手术那样,切开肌肉组织・韧带・骨等。出血少,创面少,对人体低侵袭一种脊柱最新手术治疗方法。我院是全日本第一批引进这项技术的医院。是全日本治疗脊柱疾病的最权威的医疗机构。每年的实际手术例数为全日本第一,患者买足度达到了90%以上。
麻醉方法:让患者俯卧位,做局部麻醉。这样使身体负担减少并在手术当中可与医生和护士相互交流,手术当中随时随刻都可以向医生告知现在的感觉以及疼痛状况。
操作方法:操作时通过皮肤上的小切口进行,放入细管后在保留正常椎间盘髓核的情况下,利用内窥镜激光和高频热去除纤维环周围的椎间盘碎片。这是用激光阻断纤维环里的痛感神经的非开放性操作,因此可以明显减少操作是对神经和肌肉的损伤。
操作时间:平均1小时左右。
住院时间:根据患者的情况,当日出院或住院观察1-2天。


微细钳子
用3mm的微细钳子在内窥视镜下可摘除突出的椎间盘

微细钳子
由于诊断技术越来越臻于精确,结合影像学的最新方法便能够实施更加准确安全的操作。
手术当中可随时X射线下确认手术部位,因而准确的确定神经根的位置避免对神经的损伤。

使用1.5mm的激光探针内窥镜下用激光收缩病变椎间盘

内窥镜下高频波处理病变纤维环
因为是局部麻醉,所以糖尿病或老弱患者也可以实施这一操作。
微创治疗,创面小,几乎不留疤痕,术后出血少,无需输血。
保留正常的椎体和椎间盘髓核,只摘除突出的碎片。不损伤韧带和神经,因此不会发生神经粘连的现象。
治疗当天即可出院(或根据患者要求最多住院观察2天),既减少费用,又节约患者和家属的时间。
康复时间明显比以往的开放性手术短。
不仅能消除腿部神经痛,而且也能有效消除腰痛。
主要适用于腰椎间盘髓核突出症和神经孔外狭窄患,具体表现为:因保守治疗(物理、运动或药物治疗等)无效而服用镇痛药后仍无法忍受的急性腰腿痛。
足趾、踝部、腿部产生麻痹。
保守治疗后仍有持续神经痛。
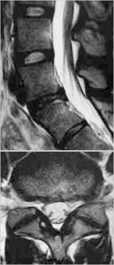
治疗前MRI
治疗后MRI
治疗后一个月后MRI
因为是局部麻醉,所以糖尿病或老弱患者也可以实施这一操作。
微创治疗,不留疤痕,无需输血。
保留正常的椎体和椎间盘髓核,只摘除突出的碎片。不损伤韧带和神经,因此不会发生神经粘连。
治疗当天即可出院(或根据患者要求最多住院观察3天),既减少费用,又节约患者和家属的时间。
康复时间明显比以往的开放性手术短。
不仅能消除腿部神经痛,而且也能有效消除腰痛。
| 1周内 |
|
|
|---|---|---|
| 2周内 |
|
|
| 3~6周内 |
|
|
| 6周后 |
|
|
| 3个月后 |
|
|
治疗原理:椎间孔镜通过在椎间孔安全三角区、椎间盘纤维环之外,彻底清除突出或脱垂的髓核和增生的骨质来解除对神经根的压力,消除由于对神经压迫造成的疼痛,其手术方法是通过特殊设计的椎间孔镜和相应的配套脊柱微创手术器械、成像和图像处理系统等共同组成的一个脊柱微创手术系统。在彻底切除突出或脱垂髓核的同时,清除骨质增生 、治疗椎管狭窄、可以使用射频技术修补破损的纤维环
治疗优势:
第一:微创手术:窥视镜下操作、微小切口
第二:手术时间:时间短,大约1小时左右即可完成复杂手术
第三:安全性:安全性高,视野清晰,可有效避免操作风险
第四:时间短:卧床1天,住院最长3-5天,康复快,一般3周可痊愈
第五:手术有效率:以上
第六:出血量:极少,几乎无出血 90±20ml
第七:疼痛度:术中无痛,局部麻醉下可完成整个手术